Compliance to DICOM Part 14 可清晰閱讀醫療影像如X光片
在醫療領域提供醫療級電腦的領導者Wincomm,持續推動與創造最有效的解決方案。秉持這一點,我們很自豪地宣布,WMP-24吋系列針對醫療顯示部分,客製化增加新的功能 - DICOM。


DICOM是人眼所看到的實際亮度,在電腦螢幕上用明顯的灰階呈現出來,讓X光片的顯影能夠更清晰。Wincomm提供的DICOM功能,設計概念以方便操呈現作為出發點,並提供三種色溫,符合不同地區的喜好選擇。此外特別設計亮度鎖定功能,以保證DICOM模式下,亮度的準確性。
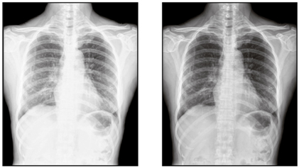
Picture: General screen VS DICOM

Picture: Three kinds color temperatures modes

Picture: Function Key Design, press the button to operate DICOM, brightness will be fixed

醫療用電腦螢幕分為四大類,Wincomm所提供的DICOM屬於Clinical Display,給使用者一個高品質、穩定、精準的醫療顯示解決方案,用來判讀如X光片等醫療影像。

Wincomm DICOM解決方案的產品在出廠前都會經過精準的DICOM調校,並提供相關報告,此外,調校工具是選配項目(includes color sensor, dongle hard key, and system installer),可額外購買。Wincomm擁有客製化DICOM的能力,其重點在於WMP-24 inch的螢幕規格夠強大,能夠輕易符合DICOM的嚴格標準。

Wincomm DICOM highlights
1. Compliance to DICOM Part 14 : Grayscale Standard Display Function, tolerance is less than 5%
2. Color temperature supporting: 5600K/6500K/9300K
3. Pre-set DICOM Compliance report of each finished product is enclosed
4. Calibration interval: 6 months
5. DICOM calibration tool (optional): Includes color sensor, dongle hard key, and system installer (execution programs, color sensor SDK, user manual)
由組裝、韌體、驅動軟體到機構散熱設計均由中美萬泰自主設計,可高度接受客戶客製化需求訂單。每個零件規劃設計,均以能長期提供客戶需求的原則,提供客戶長期最優化使用保障。若您有任何客製化需求,歡迎您與中美萬泰業務團隊聯繫 (mail: sales_support@wincomm.com.tw) 若您有任何產品訊息需求,請至中美萬泰官網 https://www.wincommusa.com/